ホワイトニング

最近は、”歯を明るくしたい”という悩みを抱えている方が多くなっています。
特に、ホワイトニングというと、女性だけでなく、男性の増加も目立ってきています。
男性がホワイトニングするメリットとして、、
”自己管理が出来ていそう” ”相手に好印象を与えそう” ”清潔感がありそう” と
仕事する上で有利になるとも言われています。
また、20代~40代の働く男女300名に行った調査の中で「仕事ができない感じがする・一緒に仕事をしたくないと思うのは?」という問いへの回答第3位に「歯が黄ばんでいる」が挙げられました。
これは「身なりがだらしない」「髪の毛にふけがある」に次ぐ結果で、歯が黄ばんでいることで自己管理ができていないと捉えられてしまうようです。
また、当院に来院される患者さんの中にも、口元が気になって人前で笑うことに抵抗があるという方がかなりいらっしゃいます。
また、高額な被せ物を入れたり、そのために歯を削ったりすることに抵抗がある方も多いと思います。
ホワイトニングは手ごろな価格で、
しかも簡単・スピーディーに結果を出すことができるため、
手軽に白い歯を手に入れたいという方にはお勧めです。
ご自身に合う方法で行うことで、歯本来の美しさを活かして自然な白さに仕上げることができます。
当院では、歯の状態や生活スタイルに合わせて選べる3種のホワイトニングメニューをご用意しております。
☆こんな方にオススメ☆
●接客業
●ビジネスマン
●発表会・結婚式・講演会などを控えている方
●加齢による歯の着色を気にしている方

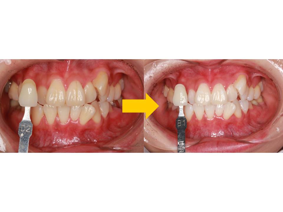
歯科医院で施術するホワイトニング方法です。
当院では比較的低い過酸化水素濃度で刺激を減らし、来院されたその日のうちにホワイトニング効果を得ることができます。
☆オフィスホワイトニングのオススメポイント☆
効果の高いホワイトニング効果を得られるホワイトニング材を使用しています。
1回の効果が高いので、忙しい人や「この日までに白くしたい」という方にお勧めです。
当院ではゆったりとふかふかのイスに座って、エステ感覚で施術を受けられます。
中には、気持ちよく眠ってしまう方が多いです☆

歯科医師の指導のもと、患者さん自身が自宅で行うホワイトニングです。
病気や外傷で歯の内側からの変色が起きたり、ブラッシングだけでは歯が白くならなかったり、加齢による変色が起きている方にお勧めです。
ご自身で、自分の好きな時間で、好きなペースで行えます。
明るいと感じるまで、個人差はありますが、2週間毎日ホワイトニングしますが、
白さが長持ちしやすいのが一番のポイントです☆
スタッフの多くは、長く明るさを持続したいため、こちらのホームホワイトニングをしています。

歯の神経をとってしまった場合、長い年月をかけて、歯の中から色が黒ずんできます。
そのため、歯を明るくする歯ブラシを使ったり、歯医者でお掃除しても、そして、ホワイトニングしても歯が明るくなりません。
この歯を明るくするには、ウォーキングブリーチという治療方法が必要になります。
方法は、歯の神経を取った後に、歯の中に薬剤を入れて変色した歯を白くするホワイトニングです。
薬剤を入れて蓋をして数週間待ち、白くなった段階で薬剤を抜いて最終的な蓋をします。
通常のホワイトニングでは効果のない神経のない歯を白くできますが、4〜5回の施術が必要なことがあり、また多少の色戻りがあります。
鳩が丘歯科クリニック