インプラント

失ってしまった歯を、より自然な状態で取り戻すために有効なのがインプラント治療です。
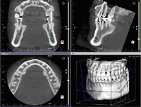
当院は、これまでに1,000本以上のインプラント埋入実績を誇ります。歯科用CTを駆使して骨の状態や位置を見ながら、さまざまな状況に対応する安心で確実な治療を提供します。
<インプラントのメリット>
・入れ歯やブリッジよりもよく噛める
・入れ歯より違和感が少ない
・健康な歯を削らなくても一本から埋入できる
・見た目も天然の歯に近い
<インプラントのデメリット>
・治療やメインテナンスに手間と時間がかかる
・ドクターの技術や設備によって予後が変わりやすい
・糖尿病などの疾患を持っている場合は受けられない

インプラント治療においては事前の精密検査が重要です。
当院では歯科用CTを導入し、顎の神経の位置や骨の厚み、骨の質など、CTで得られる多くの情報をもとに治療計画を立てていきます。

当院では、世界的にもよく使われており、製品管理や品質保証も優れている「AQB」と「インプラテックス」の2種類のインプラント体を使用しています。

タブレット端末やPCで参考画像を見ながら丁寧な説明を行います。また、当院オリジナルの冊子で治療の流れ、期間、術前術後の注意事項、金額などをわかりやすく解説しています。
状況によっては難しい場合もありますが、遠方から通われているなどの事情がある患者さんに関しては、
できる限り通院回数が少なくて済むように考慮します。ご相談ください。
顎の骨が薄くてインプラントの埋入に耐えられない場合は、「サイナスリフト」と呼ばれる顎の骨を補う造骨手術を行います。
●サイナスリフト
「上顎洞」(サイナス)と呼ばれる空洞に、骨と同じ組成の補填材を填入して上顎の骨を増やし、インプラントを埋入できるようにします。
インプラントは手術して被せて終了ではありません。インプラントの状態を定期的に管理することが重要です。
定期検診に来ていただくことで、長くインプラントを使っていただけるように、当院の歯科衛生士がバックアップいたします。
普段届きにくい場所は、ご自身でケアをするというのは、なかなか難しいですので、専用の機械をつかって、ケアしていきます。
状態が安定している方には3ヵ月、インプラントを入れて間もない人、お手入れ状態があまり出来ていない人には、1ヵ月に一度のメインテナンスをオススメしています。
インプラント体は10年間、上部構造は5年間の保証制度を設けています。
ただし、最低半年に一度のメインテナンスを受けていただくことが必要です。
インプラント治療の流れ
①診断
失われた歯の本数、インプラントを埋め込む骨の硬さや厚さ、位置により治療法には様々な選択肢があります。
口腔内の状態をしっかり確認後、CT画像撮影などによる十分な診査・診断を行います。
CT診断では様々な角度から骨の厚さや、神経・血管の位置などを確認します。
②一次手術
診断で埋め込んでも大丈夫と判断された場合、口腔内を清潔にしてから麻酔をしっかりと効かせ、歯ぐきを切開し、
インプラントを埋め込みます。
鳩が丘歯科ではむし歯の治療と同じ麻酔を使用し行い、症例にもよりますが一本の場合は大体15~20分位で手術は終わります。
③治癒期間
インプラントに使用されているチタンは、骨とインプラントが結合する性質を持っています。
一次手術後、通常上顎は6ヶ月、下顎は3ヶ月治癒期間をおきます。(個人差があります)
④人工の歯を製作・装着
治癒を待ち上部構造と呼ばれる人工の歯を作ります。歯の色や形は人それぞれ違いますので、各々に合わせて製作して
インプラントに取りつけます。
⑤メインテナンス
インプラントと骨が結合していても、土台となる骨の部分にトラブルが起きれば、骨はインプラントを支えることが出来なくなってしまいます。
インプラントを一生ものとして長持ちさせるためには正しい歯磨きを心がけるとともに、定期健診を受けて頂き、インプラントだけではなく
お口の中全体を良い状態に保ちましょう。


インプラント=保険外で怖いものと思われがちですが、一生ものでずっと自分の歯と同じように噛み続けることが出来るとても良いのもなので
詳しく話を聞きたい方、悩んでいる方は是非お話だけでも聞きに来てください♪♪
鳩が丘歯科クリニック