痛みに配慮した治療
痛みに配慮した治療

むし歯治療時の麻酔注射の痛みが苦手で歯科医院から足が遠のいてしまう患者さんもいらっしゃいます。
当院では必要に応じて表面麻酔を行い、痛みを感じにくくなるタイミングで注射を打ちますので、ほとんどの場合で痛みを感じることはありません。
表面麻酔

あらかじめ麻酔の薬剤を塗って歯ぐきの表面を麻痺させて、麻酔針が刺さる痛みを和らげます。一瞬の圧迫感はありますが、注射独特のチクっとする痛みはほとんど感じません。お好みに合わせて、バナナ風味、ミント風味、ラズベリー風味があるので、小さなお子様も怖がらずに、人気です。
極細針を使用
注射の痛みは針の太さに比例します。そのため、当院では最も細い針である33G(0.26㎜)の注射針を取り寄せて使い、無用な痛みを感じることのないよう配慮しています。なので、小さなお子様でも「痛くなかった!」「いつしたのかわからなかった」と好評です。
電動麻酔

麻酔薬が注入されるときに痛みを感じるのは、必要以上の圧力がかかっているときです。電動麻酔を使えば、均等な圧力で麻酔薬を注入することができます。
音が静かな治療

歯を削る時の、”キーン”と甲高い音が嫌い、怖いと感じる人は非常に多いです。あの音は、通常の空気で羽を回転させるためスピードが出て風が出るためなのです。当院では、”キーン”と言う甲高い音に対しても、配慮をしています。風が出ないため、音が静かで振動も少なく、タービンと比べ痛みが少ないです。そして、「歯を削る時の振動」も通常よりも軽減されますので、患者様には好評を頂いております。
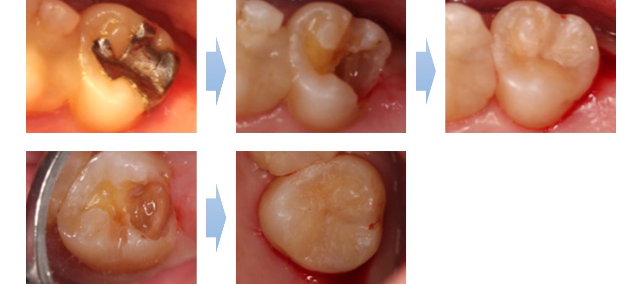
虫歯治療の症例
治療例(1)

治療例(2)

むし歯の進行
むし歯は初期の段階では自覚症状はありません。もしも痛みや腫れを感じたら、すでにかなり進行してしまっている段階だとお考えください。違和感を覚えたらすぐにご来院いただくことをお勧めします。
CO(初期むし歯)

穴は開いておらず色も変わっていませんが、歯が溶け始めている立派なむし歯です。
健康な歯とほとんど変わらない見た目であるため、自分で気づくことは難しいでしょう。定期的なメインテナンスで発見できれば、削らずに治すことができます。
C1(エナメル質う触)

この段階でもまだ痛みはありませんが、歯のエナメル質がむし歯に侵されて穴が開いた状態です。
歯にツヤがなくなり、薄い茶褐色になることがあります。溶けてしまった穴の部分を削り、レジン(歯科用プラスチック)を詰めて治療します。
C2(象牙質う触)

エナメル質の下の象牙質までむし歯が到達して大きく穴が開いてしまった状態です。
冷たいものがしみ、自覚症状が現れます。範囲が小さければ歯を削ってレジンを詰めて治療します。囲が広くなってしまった場合は、2度に分けて症状が出ないように治療をすすめます。
C3(神経まで達したう触)

C2のむし歯をさらに放置してしまうと、象牙質で保護されていた歯の神経「歯髄」にまでむし歯が達してしまいます。
温かいものもしみるようになったり、激しい痛みを感じる強い自覚症状が現れたりします。
場合によっては大きく削って神経の治療を行いながらむし歯を取り除き、治療後には噛み合わせができるように処置を行う必要があります。
C4(残根状態)

むし歯によって歯のほとんどが崩壊してしまい、根の部分だけが残っている状態です。
歯を残すことは難しく、抜かなければならない可能性が高くなります。
歯を抜いた後は、インプラント、ブリッジ、入れ歯などで噛み合わせをつくる必要があります。
根管治療

根管治療はC3以上の段階で行われる治療です。
神経が入っている根管部分を専門の機器で洗浄してから薬を詰め、被せ物を装着して噛み合わせをつくります。
完全にむし歯を取り除かないと再発してしまうこともあるため、精密な機器や高い技術が必要とされます。
根菅治療の流れ
【STEP1】むし歯に侵された歯の表面部分を除去
【STEP2】穴を開けて治療しやすくする
【STEP3】根の中で侵された神経を抜く処置(抜髄)
【STEP4】根管の先端に薬剤を詰めて、炎症が鎮まるまで待つ
【STEP5】炎症が鎮まったら再び細菌が侵入しないように封鎖
【STEP6】削った穴の形状に合わせて、詰め物や被せ物をつくって装着
鳩が丘歯科クリニック