子どもの矯正
- 多くの場合、鼻の通りが良くなり、鼻呼吸がしやすくなります。風邪をひきにくくなります。
※鼻アレルギー、喘息(気道が狭い状態)が緩和されます。 - いびきの改善、消失により、良質な睡眠が得られます
アメリカ睡眠学会では、上顎急速拡大装置による治療が、小児の睡眠時無呼吸の唯一の治療法をして認知されています。 - 嗅覚(香り、におい)が発達・改善します。
- 上顎の劣成長に起因する伝音聴覚障害(中耳炎)の改善
- 呼吸を改善することにより、姿勢も改善されます

「3歳児検診で、不正咬合を指摘された」「乳歯がグラグラしない」
「永久歯が、曲がって生えてきてしまった」「乳歯なのに重なって生えてきた」
お母さんがお子さまの歯の異常に気付くタイミングはさまざまです。
お子さまの矯正治療の場合、治療を開始するタイミングを見極める事がとても重要。
早すぎたり、遅すぎたりしないよう、しっかりと検査をしたうえで適切な判断をする必要があります。

治療が必要かどうかの判断は、
特に上顎は下顎よりも早い時期(4〜5歳ごろ)で8割方完成し、10歳頃で成長がストップしてしまいますので、この時期にしっかりと発育させておく必要があるのです。
そのため、当院では5,6歳の時期に始めるのが一番いい時期とも思っています。
さらに永久歯が生えそろった後は、正常咬合がしっかりと実現されているかどうかをチェック。
「理想の歯並び」というのは万人に共通するものではなく、その人の個性や特徴によって異なるものです。
患者さまにとってベストなタイミングは、人それぞれ違います。中には、同じような症状であっても、早く治療をした方がいい場合ケースもあります。
ここでは、不正咬合の代表的な症状と、適切な開始時期の目安をご紹介します^^
1、なかなか歯が抜けない、生えてこない。乳歯の裏から永久歯が生えてきた。
・乳歯列期から治療を開始することをおすすめします。
一番多いのが、乳歯がなかなか抜けない。抜けて一年くらい永久歯が生えてこない。乳歯の裏から永久歯が生えてきた。ということで来院される方は多いです。
![]() |
![]() |
2、反対咬合・受け口
・乳歯列期から治療を開始することをおすすめします。
下の前歯が上の前歯よりも前にある場合、その原因はいろいろあるのですが「骨格的な下顎前突(反対咬合・受け口)」の可能性があります。(アントニオ猪木やジャイアント馬場をイメージしてもらえると)
下顎前突の原因には、骨格的なものの他、機能的なもの、歯に原因があるもの等もありますが、小さなお子様の下顎前突の場合、骨格的なものであるケースがほとんどです。
骨格的な反対咬合の場合、自然に治ることはなく、むしろ成長とともにさらに下顎が発達して症状がひどくなることになるため、早期治療が必要です。
![]() |
![]() |
3、臼歯交叉咬合(すれ違い咬合)
・乳歯列期から治療を開始することをおすすめします。
指しゃぶりや口呼吸などによって上顎の歯列が通常に比べて狭くなっている場合、臼歯部の交叉咬合(すれ違い咬合)を引き起こすことがあります。
特に、上下正中線(前歯の真ん中のライン)が顔の真ん中のラインからずれていたり、顎が側方に偏って曲がったようになっている状態の交差咬合の場合、自然に治ることはありません。
骨格性の下顎前突と同じように、成長とともに下顎がさらに偏った状態で発育し、放っておいても症状はどんどん悪化していってしまいます。
そしてそのような交叉咬合は、歯列の変形や顎の不均衡な発育などから顔の変形(非対称)をきたし、将来、顎関節症や顎機能異常の原因となる可能性があります。
乳歯列期は上顎歯列を拡大して正常な顎やお口周りの筋肉の成長発育を促す良い時期でもありますので、この時期に治療をされることが望ましいとされています。

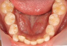
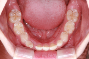
上顎急速拡大を3回行い鼻腔通気が改善しました。
咀嚼指導により、正中が合い、咬み合わせが安定しています。

4、開咬(前歯を閉じることができない)
・乳歯列期から治療を開始することを推奨します。
歯の位置は、唇や頬の筋肉(外側からの力)と舌の圧力(内側からの力)のバランスによって決まります。つまり、どこかに発育不全の部分があると、この正常なバランスが崩れて不正咬合を引き起こしてしまうのです。
最近は特に、口をいつもあけている(口呼吸)子どもたちが非常に多くなってきていますが、口呼吸でたえず口を開けていると、舌を正しい位置に収めることができなかったり、唇まわりや頬の筋肉などを正常な状態で使えなかったりして、口周りの筋肉のバランスが崩れてしまいます。
その結果、開咬になり、口呼吸がもっとひどくなる可能性がありますので早い段階での軌道修正をおススメします。
![]() |
![]() |
5、永久歯が生えてこない・おかしな位置から生えてきた
・前歯の生え変わりのタイミングで治療を行うことを推奨します。
永久歯が生えてこない理由にはさまざまありますが、その中の一つに「歯が生えるスペースが無いために生えてこれない」というものがあります。
特に最近では、上顎の発育不良により歯が生えてくるスペースを確保できないため、犬歯が八重歯となってしまっているケースを多く見かけます。
永久歯があるのに出てこれない(埋伏歯)状態の場合、その歯だけではなく、隣の歯の歯根吸収(歯根が溶かされてしまうこと)を起こすリスクが高いため、早い段階での対応が必要になります。
![]() |
![]() |
こちらから詳しいページに飛べます^^GO!!
6、過蓋咬合(噛み合わせが深い)
・混合歯列期からからの治療を推奨します。
成長期のお子さんで、骨の大きさに問題があるために噛み合わせが深くなってしまっている場合、成長期の初期段階で治療を始め、上下の顎の成長を適切に管理していくことが好ましいとされています。
骨格的な問題の場合は、治療が遅れてしまうと後で大きな手術が必要になってしまうというリスクがありますので、まずはお子さまの不正咬合がどのような問題から引き起こされているのか、正しい診断を受けることが大切です。
また過蓋咬合の場合は、噛み合わせが深いために前方や側方への顎機能運動にも障害が生じてしまいます。
将来の顎関節や筋機能への影響などという面から見ても、まずは早めに相談されることをおススメします。
![]() |
![]() |

現在日本では、文化の発達により加工食品や柔らかい食べ物が普及し、ほとんど噛まずに食事をとることができるようになりました。
しかし、その便利さの代償として、顎を育てるトレーニングを十分に行うことができずに、顎の発育が不十分なまま成長期を終えてしまっているケースも多く見かけます。
そして、顎が十分に成長しないまま年齢を重ねると、歯がキレイに並ぶスペースが不足するために結果として歯並びが乱れてしまうのです。
当院ではこのような症状に対して、顎の骨全体にアプローチする「顎顔面矯正治療」を行っております。

顎顔面矯正とは、ただ歯をキレイに並べるというよりも、むしろ歯並びを悪くしている原因である「骨格的異常」や「機能的異常」を改善し、正常な成長発育の軌道へ導くという治療法です。
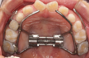
当院では、「急速拡大装置(ハイラックス)」という装置を使用して治療を行っております。
ハイラックスは、上顎骨(鼻上顎複合体)の成長を促進させることができるため、鼻の通りが良くなり、鼻アレルギーや喘息(気道が狭い状態)の緩和、といった効果もあります。
通常は、子どもの矯正で使用される器具ですが、当院では成人矯正の場合にもハイラックスを活用しております。


歯列拡大によって非抜歯矯正の可能性が高くなります。(必ず非抜歯矯正が可能になるとは限りません)
歯列が狭い状態だと舌が収まるスペースも狭いため、舌で歯を押し出す癖(舌突出癖)や、舌がだら~と下部に垂れてしまう癖(低位舌)などといった「舌癖」の原因となります。
舌癖はさまざまな不正咬合の原因となります。歯列を拡大することで舌のスペースが広くなり、「MFT口腔筋機能療法」の効果が現れやすくなります。
カウンセリングでは、まず呼吸と姿勢に着目します。そして早食いなどの食習癖、運動不足、頬杖などの生活習慣がないか確認していきます。
習癖を改善するだけで1年後にはきれいな歯列に改善される可能性があります。また、混合歯列期までなら狭窄(きょうさく)した顎顔面を拡げて機能を整えることで、きれいな正常咬合になります。
1期治療(7~9才ごろ)では、CT診査を行い包括的な治療を行なっています。成長期は健康な身体と心をはぐくむ大切な時期ですので今後の人生に大きな影響があります。
当院では、低年齢の患者さんに日常生活の中で出来る範囲の改善のご提案もしておりますので、安心してご相談ください。
●痛くなく、早く動く
●骨を正常なパターンに導く
●正常な咬合を獲得する確率が高い
矯正1期治療では、発育期の形態と機能の異常を正常に戻し、調和させながら正常な発育を促します。歯並びはもちろん、丈夫な身体と顔貌をきれいにすることを目的としています。
1.矯正相談
初診相談では、まず患者さんご本人やご家族の方が気にされていることやご要望などをお聞きします。
そして口呼吸や不良姿勢、アレルギーなどはないか、詳しくヒアリングをしながら不正咬合の要因を的確に把握していきます。
そして、模型を使って不正咬合などをわかりやすくご説明し、今後の治療の流れをご説明していきます。
2.検査
検査では問診表をご記入頂くほか、以下の様々な項目を検査します。
また、ブラッシング指導やフッ化物洗口などの説明もいたします。
CTセファロ撮影、顔貌写真、鼻腔通気度、顎関節・頚部リンパ節の触診、口腔内写真、歯列模型の印象採得、舌小帯、頬の圧痕、身長、体重
3.診断
資料にまとめた検査結果を解説しながら、治療方法や期間、矯正装置、治療のゴールを説明していきます。
また装置作成のための印象を採取します。
4.上顎急速拡大装置セット
歯面の掃除をした後、実際に装置を装着します。装置の取り扱いを説明し疑問点などを確認します。
とくに、装置の説明や効果などはしっかりご説明しています。
5.調整→定期検査
装置装着後1ヵ月間隔で来院してもらいます。状態の確認や歯面の清掃を行います。
顎が大きくなり舌が動くスペースが出来たら、口腔周囲の筋肉のトレーニングを開始します。
口腔筋機能訓練で最も重視しているのは、舌の動きの改善です。
舌小帯は薄い膜状なのが正常ですが、腱状のものは舌小帯の手術が必要です。舌のトレーニングのために舌小帯切除術をお勧めする事があります。
定期検査:3ヵ月に一度定期検査をします。
また、半年ごとに口腔内の撮影、1年ごとに姿勢と顔貌写真、鼻腔通気度、オルソ、セファロ撮影をします。
※CTは必要に応じて撮影します。
6.装置をはずす(発育期に機能を育てます)
だいたい1年から2年で拡大装置を外します。拡大装置をはずした後も続けて発育期に機能を育てます。
発育不全の兆候を早く見つけるために、少なくとも3ヵ月に一度お口のメインテナンスに通っていただきます。
トレーニングを続けることで、元気で丈夫な体に育てていくことを目的としています。
1、早寝早起き朝ごはん
2、悪習癖(不良姿勢、口呼吸、早食い、流し込み、好き嫌い)をなくす
3、適度な運動
1~6の治療により、正常な口腔機能の発育のレールに乗る準備が出来ます。
安静時の口唇と舌の位置を正しくすることで、姿勢と呼吸が変わり表情も豊かになります。
7.機能的顎矯正装置(FKO)
下顎の前下方の成長により骨格の改善がみられます。
しっかり噛む方は顎関節もしっかりできます。3ヵ月で効果が出ます。
下顎が前に出るだけでも気道は広くなり呼吸が楽になります。
8.一期治療終了:装置を外す(鳩が丘歯科の一期治療は、保定の必要はありません)
歯の生え変わりと全身の骨格の成長・発育は、リンクしている事が分かっています。
すべての乳歯が永久歯に生え変わり、12歳永久歯が生え終わるころまで経過観察をします。
子供のころの健康的な生活は丈夫な身体を作ります。
笑顔は人生を左右する。つまり、それは幸せな人生です!これからの一生、輝く笑顔が待っています!
鳩が丘歯科クリニック








